Consulta Online
Env铆eme su caso
Clínica Suárez Leoz
914 471 114
C/ Modesto Lafuente 9
28010 Madrid
Cirug铆a Ocular de Madrid
915 913 019
Pza Conde Valle Suchil 6
28015 Madrid
Cl铆nica Dermatol贸gica Internacional
914 449 797
C/ Marqu茅s de Villamagna 8
28001 Madrid
se.agaetralegna@rotcod

Orbital fractures


The orbit lies between the cranial and facial bones, therefore sometimes repair should be done by a multidisciplinary team of ophthalmologists, neurosurgeons, maxillofacial surgeons and otolaryngologists.

The bones of the orbit are connected by lines or sutures. These junctions are fractured more readily in the event of trauma.

There is also a different hardness in each of the orbital walls.

Thus the inner or medial walls are more fragile than the top or lateral ones.

The same is trae regarding the bottom wall of the orbit.

These two walls do not provide rigidity to the skeleton and facial fracture is sometimes need not be always corrected unless it produces changes in the orbit.

Therefore, in the event of trauma or orbital bone fracture we must evaluate whether or not correction is necessary due to the risk of complications that correction entails.

In cases of facial trauma a thorough medical history must be obtained assessing causes and impact velocity.

Indicators for correction are:

  • Risk of damage to the optic nerve
  • Double vision (diplopia) due to involvement of the extraocular muscles
  • Enophthalmos: sunken eye with a significant difference from the other exceeding 2 mm.
  • Changes in facial or cranial anatomy

We therefore have some cases of fracture that will not require surgery, especially the medial and inferior ones, which do not usually meet these requirements.

Orbital surgery is performed under general anesthesia.

The patient should know that during surgery, there is a risk of permanent damage of visual function, although it is a very small risk. Informed consenti must be obtained.

Traumatic optic neuropathy

Optic nerve damage can be direct or indirect (caused by blast, tractions, lesions on the forehead by shrapnel, etc.)

Treatment should be prompt. CT scan or MRI can help evaluate extent of the injury.

The patient is treated with high doses of steroids until his entry into the operating theatre.

Approach regarding this area often requires the involvement of other specialists.

The patient should know that there is a higher risk of intraoperative vision loss.

Fractures of the base of the medial orbit wall

They are very common fractures caused by blows to the eye, tennis balls, etc.. All those injuries caused by a contusive force which is received frontally on the eyeball.

Upon suffering this, the eyeball, more soft and depressible, causes a force on the medial and inferior walls, which are weaker than the lateral and upper walls, causing a fracture.

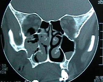
Orbital fractures 1
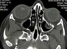
Orbital fractures 2
Baseline fracture involving the left orbit

Correction is only attempted in the event of the aforementioned factors.

Baseline fractures should be treated early in the first two weeks, before the healing processes creates significant fibrosis.

If the patient complains of double vision, we will monitor symptoms with visits every 5-7 days to evaluate if themuscle is paralyzed or merely hit or trapped by the fracture.

At times we may conduct tensile test of the eyeball. This performed under topical anesthesia and forceps, to determine whether the muscle is trapped.

If diplopia persists we reevaluate within a week and decide what to do depending on the patient's discomfort. Do not forget that a small diplopia in extreme gaze positions is compatible with the patient's normal life and the oculoplastic surgeon may decide not to intervene due to greater risk of complications if surgical intervention is attempted.

With enophthalmos we will do the same, reevaluating to check whether the eyeball is actually sunk.

Fractures of the medial walls (ethmoid) of the orbit are not corrected, since small bones are very difficult to manipulate.

But if the bottom wall has a large fracture that causes enophthalmos, surgery will be performed.

Other symptoms that may develop are anesthesia of the lower eyelid region and tear area. This is because in that area the nerve emerges in the infraorbital bone collecting sensitivity around the lower eyelid. A fracture can damage it and generate lower sensitivity alterations either in the form of anesthesia, paresthesia (cramps) or pain.

The goals of surgery are:

  • Restoring normal orbital volume
  • Releasing trapped muscles

Surgery is performed under general anesthesia. Other specialists may be involved depending on the complexity.

The approach for fractures is the lower lashline, or inside the eyelid. From there the lower orbit is reached, we free the trapped fat and muscle and place a plate of either biological or artificial material. Then closure in layers is performed.

Orbital fractures 3 Orbital fractures 4
Checking for entrapment

It also should be treated with antibiotics and steroids and analgesia.

The patient should be admitted for 24-48 hours. Improvent is usually fast.

Rare cases involve extrusion of the implant.

In fractures medial approach is similar to the caruncle and described above.